Seu site de casamento merece ser iCasei

Mais de 200 layouts disponíveis! 🎨

Seu site de casamento merece ser iCasei 🎨
Mais de 200 layouts disponíveis!
 

Principais tópicos

|lente de contato dental|lente de contato dental|lente de contato dental|lente de contato dental|lente de contato dental|

Lente de contato dental – Saiba tudo para garantir um sorriso lindo no seu casamento

Principais tópicos

Seu site de casamento merece ser iCasei

Mais de 200 layouts disponíveis! 🎨

Resumo feito por AiCasei ✨

Saiba como as lentes de contato dental podem transformar seu sorriso para o casamento, garantindo fotos deslumbrantes. Descubra como esse procedimento pode corrigir imperfeições e melhorar a estética dos dentes de forma rápida e eficaz. Entenda os cuidados necessários e os benefícios de optar por essa técnica para ter um sorriso impecável no grande dia. Conheça mais sobre as vantagens estéticas e a durabilidade das lentes de contato dental, proporcionando um visual natural e harmonioso. Esteja preparado para exibir um sorriso radiante e confiante em todas as fotos do seu casamento.

Olhar o álbum de fotos do casamento e não gostar de algumas opções, por conta da falta de sorrisos, já é coisa do passado. Acompanhando a evolução tecnológicas do universo da beleza, a lente de contato dental veio para revolucionar o sorriso, de forma rápida, eficaz e ultra personalizada.

“As lentes são feitas de finas camadas de porcelana, com média de 0,3 a 0,5 milímetros de espessura. Essas facetas são projetadas para cobrir a superfície frontal dos dentes, com o objetivo de melhorar sua aparência, modificando o formato, tamanho ou comprimento dos dentes, além de melhorar a cor, deixando os dentes bem mais branquinhos”, explica o Dr. Anderson Bernal, dentista e designer oro – facial, que foi um dos responsáveis pela transformação do sorriso do cantor Belo.

Veja também:  Para brilhar no altar: tratamentos estéticos que podem ser feitos antes do casamento

lente de contato dental
Foto: Wedding Photos

Essas lentes surgiram através do amadurecimento de estudos das facetas de porcelana. “Elas são uma evolução enorme, pois preserva a estrutura dentária exigindo pouco ou nenhum desgaste da superfície do dente. A colagem é feita sobre esmalte, o que eleva muito a longevidade do tratamento e elimina a sensibilidade. De fato, as lentes vieram para mudar a vida de melhorar a autoestima de muita gente que quer ter um sorriso mais bonito e uniforme”, afirma a dentista carioca Isrraela Massena.

Mas, como funciona a lente de contato dental? Os especialistas explicam que existem alguns passos que precisam ser muito bem seguidos, especialmente os preparos anteriores à aplicação.

“Antes de tudo, vale a pena lembrar que o paciente precisa estar livre de cáries, lesões inflamatórias e ter excelente saúde gengival. Outro ponto também importante são os cuidados, eles continuarão sendo os mesmos da dentição natural”, enfatiza Isrraela.  Ao tomar a decisão de colocar as lentes, o paciente deve de fato levar em conta se realmente há essa necessidade.

Segundo ela, é muito comum ver pessoas com dentes bonitos e perfeitos manifestando o desejo de ter lentes dentárias sem necessidade em busca de um resultado que o próprio clareamento pode trazer. “É óbvio que tudo é muito bem planejado pelo cirurgião dentista, mas caso você possua problemas como dentes manchados, desgastados, com pequenas fraturas ou está insatisfeita com o formato dos seus dentes, aí sim, essas indicações são perfeitas para a escolha das lentes.”

lente de contato dental
Foto: We The Kims

Veja também:  Benefícios dos chás para as noivas: como escolher segundo o seu objetivo

Confira os passos para a colocação da lente de contato dental:

1 – Primeira consulta

Acontece o primeiro contato entre dentista e paciente. Então, aqui, o exame clínico é feito, para ver se toda a boca e dentição estão saudáveis, além de moldagens, fotografias, exames radiográficos e tratamento gengival. “Nós preparamos a boca, com limpeza de jato e ultrassom. Depois, o ideal é cuidar da gengiva, com 15 dias de bochechos de antisséptico com clorexidina.Só, então, a gente inicia o procedimento de colocação das lentes”, conta Anderson.

2 – Segunda consulta

Depois de muita conversa, o dentista entende as expectativas do paciente e começa a fazer os desenhos dos novos dentes. “Eu uso a tecnologia de escaneamento em 3D, onde eu jogo as informações do paciente no computador e ele cria a boca dele em 3D. A partir dela, a gente desenha os novos dentes da pessoa, de acordo com uns padrões e medidas que pegamos de um questionário de visagismo. É nesse momento que nós definimos qual o padrão dental da pessoa e ela aprova”, ensina Anderson. Há alguns especialistas que também fazem clareamento dentário no consultório, como realiza Isrraela. “É importante que a superfície do dente esteja livre de pigmentos que possam interferir no resultado final da cor. Nessa consulta também é apresentado ao paciente o planejamento do tratamento, o enceramento diagnóstico e discutidos alterações e possibilidades dos resultados e as etapas do passo a passo do tratamento”, enfatiza ela.

As moldagens irão para o laboratório e passarão por uma construção, o que os dentistas chamam de enceramento diagnóstico. É através desse enceramento que o paciente terá uma ideia de como ficará seu sorriso. Já os exames radiográficos são auxiliares para a avaliação da saúde dos dentes e gengivas e para o suporte para o planejamento do tratamento.

lente de contato dental
Foto: Record You

 

3 – Terceira consulta

“Neste momento, nós fazemos um preparo da lente de contato dental  e há a primeira prova desses novos dentes na pessoa, é o que chamamos de teste drive. As lentes ficam sobrepostas aos dentes da pessoa e, então, ela consegue ter uma ideia de como vai ficar”, explica Anderson. É também neste momento que é feita a seleção da cor final das porcelanas, já que a seleção das cores não pode ser feita no mesmo dia dos procedimentos para clareamento.

*Sobre dentes desgastados: Eles podem, sim, ser desgastados, caso necessário. “São desgastes mínimos para o correto assentamento das lâminas. Este mínimo desgaste é orientado por guias confeccionadas a partir do projeto inicial, ou seja, apenas áreas retentivas são eliminadas, criando também o espaço necessário para o material restaurador”, afirma o Dr. Ernani Calvete, dentista do Kurotel – Centro Médico de Longevidade & Spa, de Gramado, no Rio Grande do Sul.

Veja também:  Dicas para adotar a dieta low carb antes do casamento


4 – Quarta consulta

Depois o ‘sim’ do paciente, após processo de testes de fotos e vídeos, as lentes são confeccionadas e, então, são cimentadas nos dentes reais. “Como a lente de contato é muito fina, a gente faz um preparo sobre o esmalte dental. É como se esse cimento fizesse uma fusão entre o dente e a película, para evitar qualquer queda. Ele pode ser um cimento da cor natural da pessoa ou mais opaco,  isso é muito de gosto pessoal”, diz Anderson.

5 – Quinta consulta

A revisão da mordida e adaptação gengival são os ‘temas’ desta última consulta. É aqui que o dentista verifica a adaptação das gengivas e revisa a mordida do paciente, para que tudo esteja ótimo e conforme o planejamento. “O paciente é liberado e recebe uma rotina de retorno para consultas convencional, igualmente a dos pacientes que não possuem lentes. É uma vida normal, com todos os hábitos normais de alimentação”, detalha Isrraela.

lente de contato dental
Foto: Male Szare Studios

 

Existe alguma contraindicação?

Sim, existem algumas contraindicações para o uso da lente de contato dental, mas o dentista pode auxiliar melhor o paciente no dia da consulta.

“Algumas das contraindicações podem ser minimizadas por um tratamento pré-lente de contato como, por exemplo, pacientes com risco grande de cárie, que possuam muitas restaurações antigas e amareladas, dentes com a coloração muito escura, que tenham ausência dentária ou até bruxismo – que é o hábito de ranger os dentes. Nesses casos, o dentista terá que fazer antes da lente de contato um tratamento adequado”, conta a Dra. Greice de Brito Bitencourt, dentista da Edel White.

Além disso, o Dr. Anderson explica que as pessoas com a dentição ainda não finalizada, especialmente as crianças, esse tipo de procedimento com a lente de contato dental não é indicado. “Quem tem hábitos parafuncionais, como roer muito as unhas, cacoete de morder muito os lábios, ou má oclusão, ou seja, quando está faltando algum dente no fundo, ou a pessoa que não morde direito…. Nestes casos, tem que acontecer o tratamento primeiro e aí, sim, a pessoa pode começar a fazer as lentes de contato.”

Veja também:  Day spa: 10 hotéis para celebrar o aniversário de casamento em SP ou RJ

Dicas express da lente de contato dental

Cuidados após o procedimento

A lente de contato dental  não é eternas, com média de duração de 10 anos, mas podemos preservá-las sem exageros!

1- Utilize escovas dentárias com cerdas macias.

2- Abandone hábitos como morder unhas e lápis – os riscos para fraturas em facetas e lentes são maiores.

3- Evite alimentos duros e usar os dentes para abrir embalagens, como sacolas ou garrafas.

4- Cafés e cigarros estão associados ao amarelamento precoce de lentes, quando consumidos em quantidades elevadas.

5 – Não esqueça de dedicar uma boa higiene bucal para seu sorriso. Uma das principais causas do insucesso após estes procedimentos e a má higienização dental.


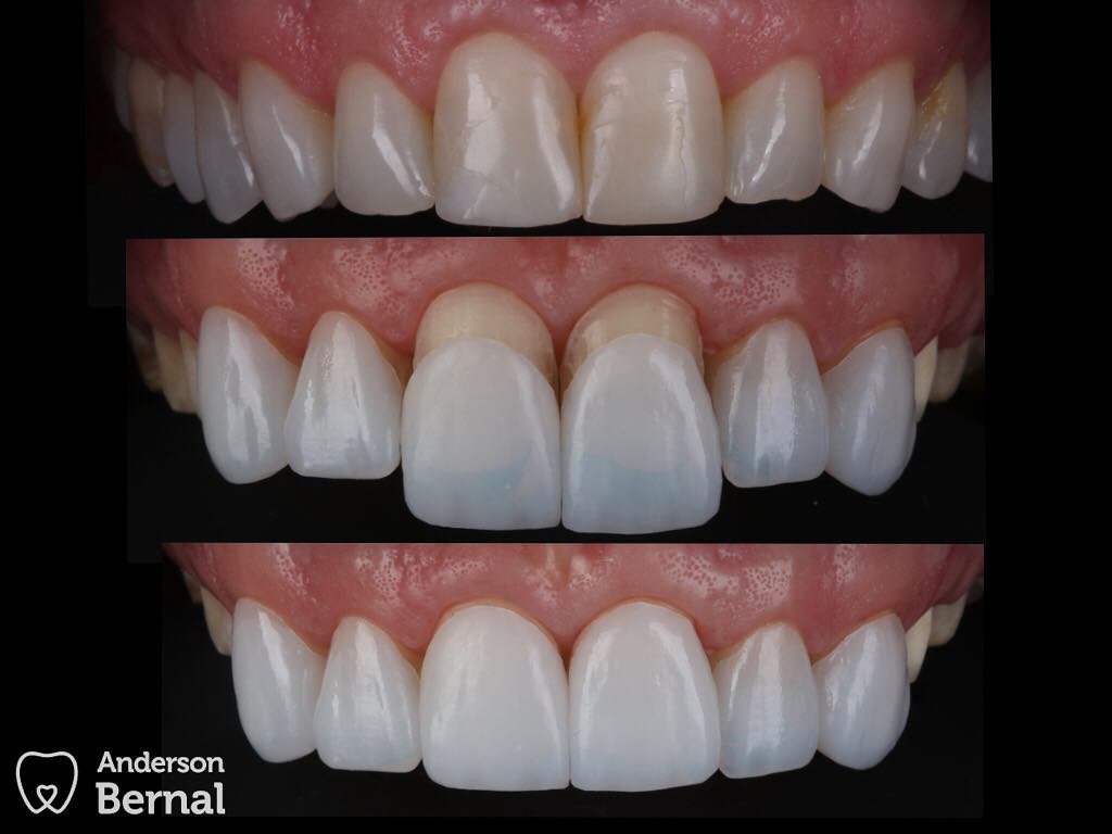
lente de contato dental
Foto: Anderson Bernal

Tempo ideal para as noivas realizarem o procedimento

“Caso haja necessidade de plástica gengival prévia, indica-se que esta seja realizada com 30 a 60 dias de antecedência à confecção das lentes, para que se tenha plena cicatrização e estabilidade de tecidos moles. Para a confecção das lentes o tempo irá variar de acordo com o número de dentes envolvidos, mas, em geral, uma a duas semanas são suficientes”, explica Dr. Ernani.

Seu site de casamento merece ser iCasei

Mais de 200 layouts disponíveis! 🎨

Confira também

Compartilhe o post

WhatsApp

Tags

Deixe um comentário

O seu endereço de e-mail não será publicado. Campos obrigatórios são marcados com *

Em alta 🚀